
필러 녹이기
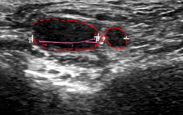
히알라제와 초음파를 이용한 필러 녹이기 원치 않는 필러, 과교정, 울퉁불퉁함을 초음파로 ‘어디에·얼마나·어떤 층에’ 있는지 먼저 확인하고, 필요한 위치에만 정밀하게 녹입니다.
초음파 히알라제의 원리

히알라제(테르가제)는 히알루론산(HA)을 분해하는 효소로, 히알루론산 필러를 녹이는 데 사용됩니다. 초음파로 필러의 정확한 위치·층·분포를 확인한 뒤, 초음파를 보면서 목표 부위에 맞춰 주입하면 ‘필러가 없는 곳에 주사해 효과가 떨어지는 상황’을 줄이고 보다 정밀한 교정을 기대할 수 있습니다. ※ 시술 적용 여부는 필러 성분(히알루론산 여부)과 조직 상태에 따라 달라질 수 있습니다.
왜 필러 제거는 퀸스유피에스의원일까요?
초음파 검사로 위치 확인
시술 전 초음파 검사로 필러의 정확한 위치·층·분포를 확인해 ‘어디를 녹일지’부터 정밀하게 설정합니다.
피부반응(알러지) 검사 시행
안전한 시술을 위해 피부반응 검사 시행. 필요 시 알러지 반응 억제를 위한 항히스타민/스테로이드 처치를 고려합니다.
초음파 보면서 주입
초음파로 보면서 히알라제를 주입해 정확도를 높이고 과교정·잔존필러 위험을 줄입니다.
다양한 경험 기반 시술 노하우
부위·필러 상태·원하시는 결과에 따라 교정 플랜을 세밀하게 조정해 만족도를 높입니다.
히알라제 종류 비교
가루형은 농도 조절이 자유롭고, 액상형은 준비가 간편해 상황에 따라 선택됩니다.
| 구분 | 가루형 히알라제 | 액상형 히알라제 |
|---|---|---|
| 형태 | 분말 형태 | 액체 형태 |
| 사용 방법 | 시술 직전 희석 | 바로 사용 가능 |
| 장점 | 농도·강도 조절 용이 | 빠르고 간편한 시술 |
| 권장 상황 | 정밀한 양 조절이 필요한 경우 | 빠른 처치가 필요한 경우 |
사용 약물
가루형 히알라제사용 직전에 생리식염수에 희석해 사용하는 히알루론산 분해 효소입니다. 보관이 비교적 안정적이고, 농도 조절이 자유로워 상황에 맞춰 사용됩니다.
액상형 히알라제이미 액체 상태로 준비된 히알루론산 분해 효소로, 희석 과정 없이 바로 사용할 수 있습니다. 시술 준비가 간편하고 빠른 처치가 필요한 경우에 적합합니다.
테르가제히알루론산을 분해하는 성분을 포함한 제제로, 인간 dna가 포함되어있어 부작용이 적어 알러지가 심한분들도 진행 가능합니다. 작용이 비교적 순해 미세 조정이나 국소 부위 교정에 활용됩니다.
시술효과
- POINT 01과교정/비대칭/원치 않는 볼륨 교정에 도움
- POINT 02울퉁불퉁함·뭉침(결절 의심) 부위 개선에 도움
- POINT 03움직임이 많은 부위(눈·입 주변 등)도 초음파로 위치 확인 후 정밀 접근
- POINT 04향후 재시술(리디자인)을 위한 ‘리셋’ 목적에도 고려
#필러녹이기#히알라제#초음파진단#정밀교정


이런 분께 추천
- CASE 1타 병원 필러 후 모양이 마음에 들지 않는 분(과교정/비대칭)
- CASE 2필러가 여러 층에 나뉘어 들어간 것으로 의심되는 경우
- CASE 3눈가·입가 등 움직임이 많은 부위의 교정을 원하는 분
- CASE 4필러 위치가 불명확해 ‘감’으로 시술 받는 것이 불안한 분
시술 과정
STEP 01상담/상태 확인시술 시기·제품·용량·부위를 확인하고, 촉진으로 현재 상태를 점검합니다.
STEP 02초음파 검사시술 전 초음파로 필러의 위치·양·주입된 층을 확인해 ‘어디를 녹일지’부터 정확히 설정합니다.
STEP 03알러지 반응검사안전한 시술을 위해 알러지 반응 검사를 시행합니다. 필요시 알러지 반응 억제를 위한 항히스타민제 스테로이드 주사를 선택 할 수 있습니다
STEP 04정밀 주입/모니터링실시간으로 초음파로 보며 히알루론산을 분해하는 효소를 주입해 히알루론산 필러를 교정합니다. 초음파로 실시간으로 보면서 시술하기 때문에 정확하고 안전합니다.
시술 후 주의사항
- 히알루론산(HA) 필러 대상히알라제는 ‘히알루론산’을 분해하는 효소로, 필러 성분에 따라 적용이 제한될 수 있습니다.
- 알레르기 반응 주의피부반응 검사를 진행하더라도 개인에 따라 반응이 나타날 수 있어, 안내사항을 꼭 따라주세요.
- 시술 후 자극 회피초기에는 강한 마사지/압박/사우나/격한 운동은 피하는 것을 권장합니다.
- 일시적 반응붓기·멍·압통 등이 있을 수 있으며, 대부분 수일 내 완화됩니다.