
초음파 보톡스
초음파를 통해 근육층을 확인하여 정확한 근육 위치에 안전하게 시술하는 초음파 보톡스
초음파 보톡스란?

일반적인 보톡스 시술은 담당의가 피부를 만져보고 판단하여 진행됩니다. 이 과정에서 의사의 감만으로 시술을 진행할 확률이 높기때문에 부작용이 생기거나 시술효과가 떨어지기도 합니다. 반면에 초음파 보톡스는 환자의 근육과 지방의 양, 크기를 모니터를 통해 확인하며 시술하기 때문에 부작용을 최소화합니다.
왜 초음파 보톡스는 퀸스유피에스의원일까요?
1:1맞춤
1:1 맞춤 시술로 초음파로 정확한 위치 파악후 상담 및 시술 진행.
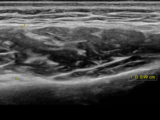
근육의 두께를 측정
근육의 위치·두께를 확인해 개인에게 맞는 용량/포인트를 설계합니다.
정확한 위치에 약물 투여
타겟 근육에 정확히 주입해 효과는 높이고 과교정은 줄입니다.
합병증 예방 가능
실시간 확인으로 안전성을 높이고, 이상 반응 발생 시 빠르게 체크합니다.
사용 제품
리즈톡스 보톡스국내에서 많이 사용하는 톡신 제품 중 하나로, 표준적인 주름·근육 완화 목적에 폭넓게 적용됩니다. 합리적인 비용대에서 부위별 맞춤 시술에 활용되는 편입니다.
코어톡스 보톡스일반적으로 ‘순수 톡신’(복합단백질을 줄인 형태) 콘셉트로 알려져 있어, 불필요한 단백질 부담을 낮추는 방향으로 설계된 제품입니다. 반복 시술을 고려하는 경우 선택지로 언급됩니다.
제오민 보톡스독일 Merz사의 제품으로, 불필요한 복합단백질이 없는(또는 매우 적은) 형태로 알려진 ‘클린 톡신’ 계열입니다. 내성 가능성이 낮고 반복 시술 시에도 항체 반응 우려가 적은 제품입니다.
앨러간 보톡스가장 오래된 대표 브랜드로, 임상 데이터와 레퍼런스가 가장 풍부하다는 점이 강점입니다. 안정성과 예측 가능성을 중요하게 보는 경우 많이 선택됩니다.
부위별 초음파 보톡스
FACE: 측두근 · 턱 · 침샘 / BODY: 승모근 · 종아리

시술효과
- POINT 01초음파로 피부층을 확인하며 정밀하게 진행
- POINT 02개인 상태에 맞춘 1:1 디자인
- POINT 03부작용 최소화에 도움
- POINT 04시술 효과의 균일도/정확도 개선에 도움
- POINT 05부위별 근육·지방 상태를 고려한 맞춤 시술
- POINT 06자연스러운 인상 유지에 도움
- POINT 07필요 부위 중심의 합리적 시술 설계
- POINT 08사후 관리 안내로 유지에 도움
#초음파보톡스#초음파검사#1:1맞춤케어#정확한보톡스#부작용최소화


이런 분께 추천
- CASE 1보톡스 시술이 처음이라 안전하게 받고 싶은 분
- CASE 2이전 보톡스에서 효과가 들쑥날쑥했다고 느낀 분
- CASE 3부위별(측두근/턱/침샘/승모근/종아리 등) 맞춤 시술을 원하는 분
- CASE 4과교정 없이 자연스러운 변화를 선호하는 분
- CASE 5근육·지방 상태를 확인하고 정확하게 진행하길 원하는 분
- CASE 6중요한 일정 전, 회복 부담을 줄이며 컨디션을 맞추고 싶은 분
- CASE 7정확한 데이터 기반으로 계획된 시술을 원하는 분
- CASE 8대표원장 직접 시술을 원하는 분
시술 과정
STEP 01개인별 1:1 맞춤 디자인고민 부위와 목표를 확인하고, 초음파 확인 범위와 시술 포인트를 설계합니다.
STEP 02마취 및 근육·지방 두께 체크필요 시 도포/국소마취 후, 초음파로 근육·지방층의 위치와 두께를 확인합니다.
STEP 03정확한 타겟에 보톡스 약물 투입타겟 근육을 확인한 뒤, 맞춤 용량으로 정확한 층에 주입합니다.
STEP 04초음파로 실시간 체크시술 중/후 초음파로 주입 상태를 확인하며 안전하게 마무리합니다.
시술 후 주의사항
- 시술 후 자극 최소화시술 당일~수일은 사우나/찜질, 과격한 운동, 과음은 피해주세요.
- 압박·마사지 주의시술 부위를 강하게 누르거나 문지르는 행동은 일정 기간 피하는 것을 권장합니다.
- 일시적 반응붓기/멍/뻐근함이 있을 수 있으나 대개 수일 내 완화됩니다.